症例紹介

症例紹介
あらゆる症例・ご要望に対応

シーンデンタルリサーチの実績紹介

横浜の歯科技工所「シーンデンタルリサーチ」のこれまでの実績をご紹介します。作製した技工物や対応した症例などをご覧ください。

画像をクリックすると拡大表示されます

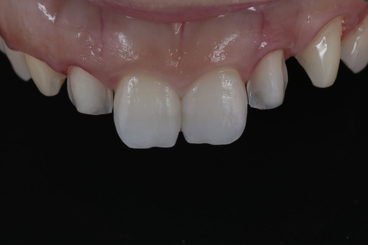
e.max SSクラス

術前 術前

術後 術後

術前 術前

術後 術後

e.max Sクラス

術前 術前

術後 術後

ジルコニア SSクラス

術前 術前

術後 術後

術前 術前

術後 術後

ジルコニア Sクラス

術前 術前

術後 術後

術前 術前

術後 術後

TO PAGE TOP

取り扱い製品一覧
ZENOSTAR
ZENOSTARの多様性
シンフォニーe-max
CAD/CAMシステム
アバットメントシステム
インプラント
  • 症例紹介
  • パートナー募集
会社情報
株式会社 シーンデンタルリサーチ
住 所
神奈川県横浜市都筑区中川中央1-39-4
マイキャッスルセンター北Ⅱ 210
お問い合わせ
045-912-7751